
The Beverly Hills Endo Summit presents...
Surgical or Non-Surgical Re-Treatment?
This is the Question
By: Dr. Bartlomiej Karas
Wednesday, September 25, 2024 at 12:30PM (Pacific Time)
REGISTER NOW
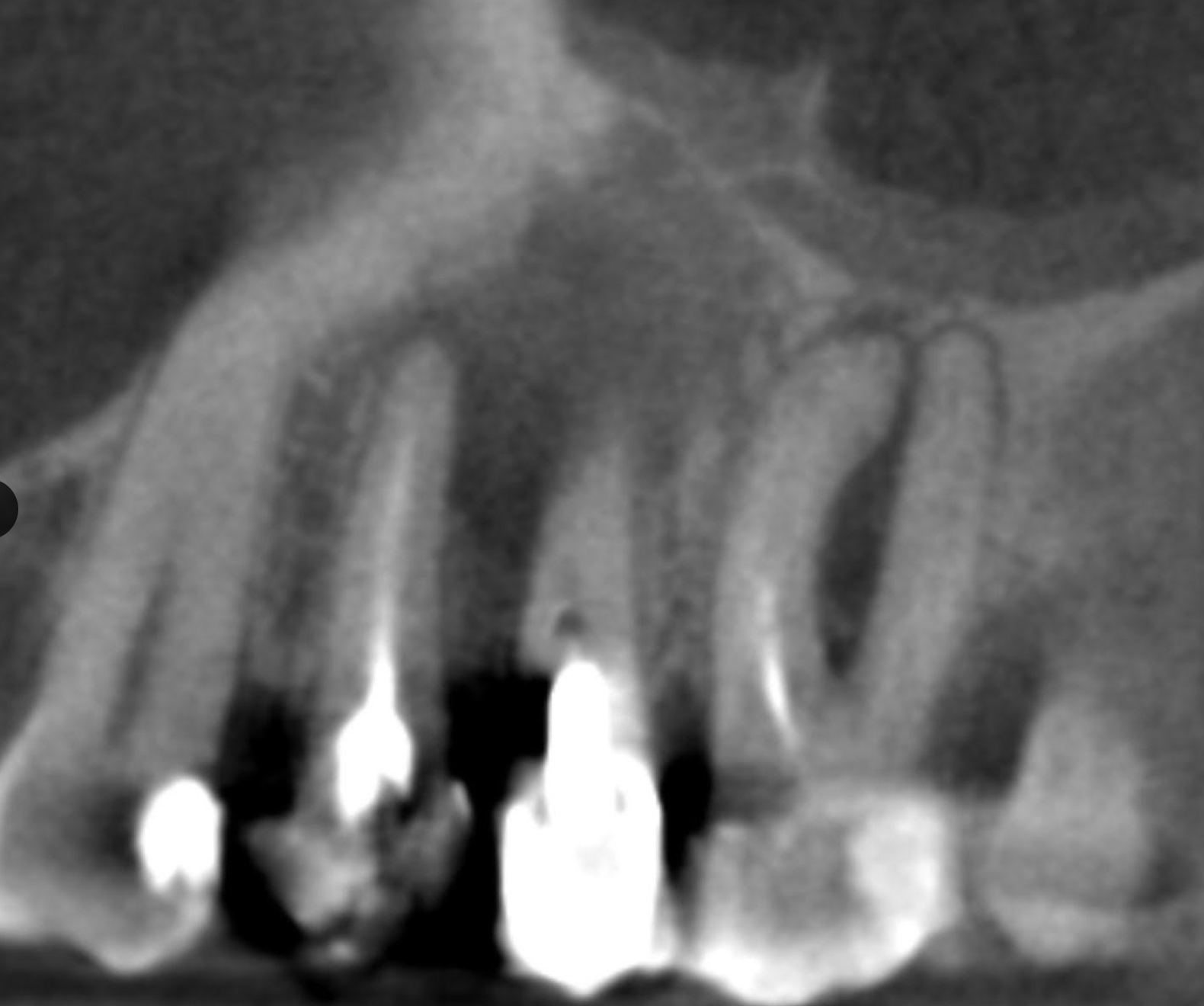
Clinicians often face challenges when deciding on the most appropriate treatment approach for teeth that have undergone previous endodontic treatment.
The decision-making process can be complicated if clinicians are unclear about the various treatment options, their indications and success rates as well as the tooth's prognosis.
This webinar aims to offer practical and clear guidance on evaluating the best treatment options for these cases. Key factors such as the presence of broken instruments, the type of post use, restorative considerations and anatomical variations will be thoroughly discussed to aid in making informed clinical decisions.
Don't miss this opportunity with Dr. Karas, an expert in the field with extensive experience in both surgical and non-surgical re-treatments, where he'll share his insights and expertise to help clinicians navigate these complex cases with confidence.

Add Your Name and Email to Register:
The webinar presented is for dental professionals only. After submitting your information, we will communicate with you about this webinar and other trainings. CE credits are not awarded for this webinar.
Learning Objectives:
Dr. Bartlomiej Karas
Dr. Bartlomiej Karas is the CEO of the Medical Training Center Karaś near Wrocław, Poland. and the inventor of the LessPrepEndo laser based endodontic technique. He graduated Medical University, School of Dentistry in Wrocław in 2009 in is a Vice President of Section of Endodontics of Polish Dental Association, Cofounder of Dental Masters Group, European Society of Endodontology, Polish Society for Laser Dentistry, World Federation for Laser Dentistry, Polish Endodontic Association.
Dr. Karas is the author of numerous articles about endodontics in dental magazines around the world. KOL and coworker leading companies in dental business since 2013. Coauthor of the book “Endodoncja w ujęciu klinicznym” red. Prof. Marta Tanasiewicz. Since 2013 he has performed over 400 lectures and hands-on trainings in 15 countries on 4 continents. So far he had more than 4000 participants from 35 countries on his workshops.

Join us and start to learn about...
Surgical or Non-Surgical
Re-Treatment?
This is the Question!
Presented By: Dr. Bartlomiej Karas
Wednesday, September 25, 2024 at 12:30PM (Pacific Time)
The Training Is Starting In:
00
DAYS
00
HOURS
00
MINS
00
SECS